上唇小帯付着異常、舌小帯付着異常について

2019.09.02

こんにちは、福岡市西区の歯医者、わたなべ歯科クリニックです。
今回は、乳幼児健診でよく指摘されることが多い、小帯と言われる『すじ』の説明です。

上唇小帯について

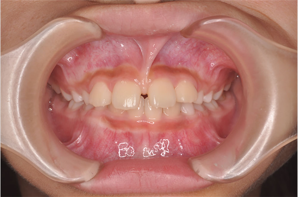
上唇小帯について

上唇小帯(じょうしんしょうたい)は、上くちびると歯ぐきをつないでいる「すじ」のことです。この小帯が上の前歯の真ん中付近に伸びてきていると、乳幼児健診等で指摘されることがあります。
小さなお子様のお口を診ていると、上の前歯と前歯の間に陥入するように小帯(すじ)が付着しているお子様が見受けられます。年齢が上がるとともに顎の成長発育につれて、正常になることもありますが、永久歯が出てくる頃に改善がみられないと、歯並びに大きく影響してしまいます。具体的には、一番前の前歯が左右離れてしまいます。このことを『正中離開』と言い、中心がすきっ歯になるので、歯並びだけでなく、顔貌にも悪影響が出てしまいます。

また、歯みがきの際、小帯(すじ)が擦れるので、歯みがきが疎かになり、虫歯にもなり易くなります。仕上げ磨きの時は、指の腹でカバーをしてブラッシングをしてあげましょう。
小学生1年生頃の前歯の生え代わりごろまでは様子を見ていて大丈夫ですが、すでに正中離開になっている、または前歯の永久歯が生え変わる頃に、小帯(すじ)が原因で、『正中離開』になりそうな場合は、小帯切除手術が必要となります。

舌小帯について

舌小帯について

舌小帯(ぜつしょうたい)は、舌の裏側にある「すじ」のことです。この小帯が短いことを乳幼児健診等で指摘されることがあります。
舌小帯異常などは、舌強直症といって、舌の運動障害を起こしてしまいます。舌尖部を使って発音するサ行、タ行、ラ行の構音障害や、摂取障害などがあります。これも、手術しなければなりません。また、成長してから、発音他に影響がある場合は切除をおこなうこともあります。

正常な舌との比較

福岡市西区のわたなべ歯科クリニックでは、小帯切除手術においてレーザー治療を行っております。

わたなべ歯科クリニックでは、最新鋭のレーザー治療器を導入しております。レーザー治療は、痛みや不快感が少なく、また出血もほとんど無く、治癒期間も短縮され、患者さんの身体にとっても非常にやさしい治療法として知られています。
当院では小帯切除手術治療をはじめ、多くの治療にレーザーを利用しております。

レーザー治療器

一覧へ戻る