歯ぎしりがもたらす体に悪いこと

2018.03.06

日本人の約80%が無意識に歯ぎしり・くいしばりを行っています。

歯ぎしりやくいしばりの時に歯にかかる力はなんと300kg~900kg!
普段の食事のときにかかる力は3kg~10kg程度なので、その数十倍以上の異常な力が大切な歯をすり減らしたり、壊したりしてしまっています。

自分で歯ぎしりをしていると自覚をしていることは少ないですが、夜中にギリギリ、ガリガリと歯ぎしりしていると、朝起きたときに顎が痛い、なんとなく頭痛や肩こりが続くという症状がでます。また、一緒に寝ている人に指摘されて気が付くことがあります。歯ぎしりは、気が付かないうちに、歯や顎にとても悪い影響をもたらします。

1.歯ぎしりの種類

A.寝ているときの歯ぎしり

寝ているときの歯ぎしり

・グラインディング
いわゆる歯ぎしりのことで、下顎を動かして上顎の歯と下顎の歯を擦り合わせギリギリと音を出します。

・タッピング
下顎を上下に小刻みに動かして、上の歯と下の歯でカチカチという音を出します。このタイプの歯ぎしりをしている人は多くありません。

・クレンチング
下顎は動かさず、ギューっと噛みしめることを言います。音が出ないので周りの人は気が付きません。朝起きたときの顎の痛みによって歯ぎしりに気が付くこともあります。

B.起きているときの歯ぎしり

・上下歯列接触癖(TCH)
通常上の歯と下の歯の間には2mmから3mmの隙間があります。しかし、集中しているときやストレスが溜まっているときに上の歯と下の歯が噛んでいることがあります。
この癖を「上下歯列接触癖(TCH)」と言い、歯ぎしりの一つです。

2.歯ぎしりの原因

・心理的ストレス
歯ぎしりの主な原因はストレスです。配偶者との別れ、退職や転職などの環境の変化などでストレスを強く感じ、歯ぎしりを行うようになってしまいます。歯ぎしりをするとストレスが溜まっていると大脳に伝わりにくくなり、ストレス解消につながると言われています。そのため、ストレスを感じる時に、歯ぎしりをすることがあります。

・疲労
疲れていると肉体的にも精神的にもストレスが溜まってしまいます。そのストレスを解消するために、歯ぎしりを行ってしまうことがあります。

・アルコール
お酒を飲む席では会話が弾んで人間関係が円滑になったり、少量の飲酒は気分転換になったりとお酒は生活を豊かにしてくれるものですが、大量の飲酒は眠りが浅くなり、ストレスが溜まってしまいます。それにより、歯ぎしりを誘発してしまいます。

・噛み合わせ
一般的に噛み合わせが悪いと歯ぎしりを行ってしまうと言われています。ただ、噛み合わせが歯ぎしりの原因だという科学的な根拠はありません。

・筋肉の緊張
咀嚼筋(噛むための筋肉)は、ストレスや日中噛みしめていることによって強張ってしまいます。それを和らげようとして、歯ぎしりを行ってしまいます。

・集中している時
昼間の歯ぎしり(上の歯と下の歯が接触している)は、パソコンでの作業や家事など何かに集中しているときに多く認められます。

・噛む練習(幼児期の歯ぎしり)
子どもが夜中にギリギリと歯ぎしりをしていると驚いてしまう親御さんが多いかと思います。子どもの10%から20%が歯ぎしりをすると言われています。
はっきりとしたメカニズムはわかっていませんが、生えてきた歯で噛む練習を行ったり、子どもの歯を擦り減らせて後から生えてきた大人の歯とバランスを取ったりしていると考えられており心配は要りません。ほとんどの場合は、成長と共に歯ぎしりをしなくなるので、気長に待ってあげてください。

3-1.一緒に寝ている人の睡眠が妨げられる

一緒に寝ている人の睡眠が妨げられる

ギリギリやカチカチと歯ぎしりをする音が聞こえてくると、なかなか寝付けなかったり夜中に起きてしまったりしてしまいます。一緒に寝ている人が寝不足になって健康に支障がでることもあります。

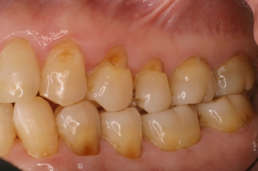
3-2.歯がすり減る

歯がすり減る

歯が擦り合わされることによって、歯がどんどん削られてしまい、短くなってしまいます。
それにより、歯の噛み合わせがうまくいかなくなり、また歯きしりがするという悪循環となってしまいます。

3-3.知覚過敏

知覚過敏

歯ぎしりのよって歯のエナメル質が削られて、象牙質が露出してしまいます。
そうすると、冷たい食べ物や、甘いもの、風にあたった時などにピキッと痛みを感じるようになることがあります。

3-4.歯の破折

歯の破折

寝ているときの歯ぎしりでは、日中では考えられないほどの力が歯にかかってしまいます。
そのため、異常な力が歯にかかることがあり、歯が折れてしまうことがあります。

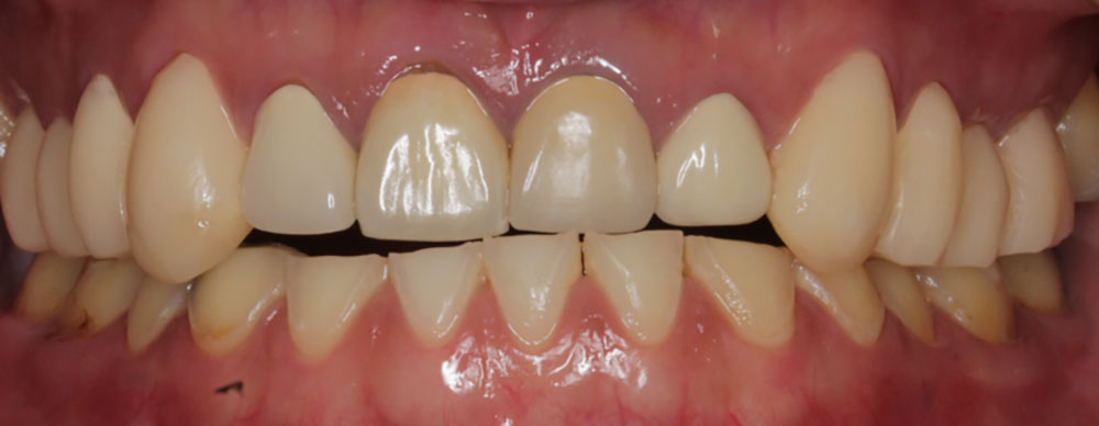
3-5.詰め物や被せ物がよく外れる、壊れる

詰め物や被せ物がよく外れる、壊れる

歯ぎしりによって治療を行ってある歯に異常な力がかかり、金属やプラスチック、セラミックでできている詰め物や被せ物が外れてしまったり、破損してしまいます。

3-6.顎関節症

顎関節症

寝ているときの歯ぎしりだけでなく、日中上下の歯があたっている状態は顎に担がかかって、慢性的に顎が痛くなってしまうことがあります。

3-7.歯周病の悪化

歯周病の悪化

歯周病は骨の支えがなくなってしまっている状態です。
支えが少なくなっている歯に、歯ぎしりの力が加わることによって、更に骨の支えが減っていってしまいます。

3-7.歯の痛み

歯の痛み

歯に強い力がかかることによって、不快感のある鈍痛を慢性的に感じるようになってしまいます。

3-9.顔貌の変化

顔貌の変化

歯が擦り減って噛み合わせが低くなると、口角が下がり、口元のしわ増えてしまうことがあります。
アンチエイジングのためにも歯ぎしりは、良くありません。

3-10.頭痛・肩こり

頭痛・肩こり

噛む筋肉やその周囲の筋肉が緊張することになり、慢性的に頭痛や肩こりも引き起こされることがあります。

一覧へ戻る